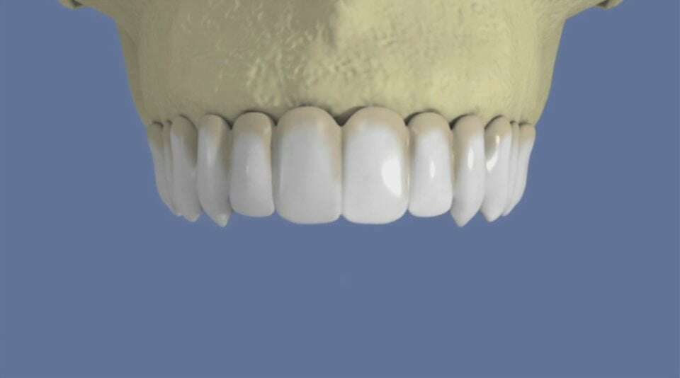
Maxillaire complet et traitement implantaire pour un bridge fixe scellé
Articles similaires
Mandibule : all-on-4
Vidéos 3D
Maxillaire : all-on-4
Vidéos 3D
Catégories
- Informations pratiques (10)
- L'équipement du cabinet dentaire (10)
- Les choix esthétiques (12)
- Les dents chez l'adulte (10)
- Les dents de l’enfance à l’adolescence (17)
- Les dents et la santé (23)
- Les gencives (24)
- Les implants (24)
- Les pathologies bucco-dentaires (29)
- Les prothèses (40)
- Omnipratique (210)
- Prendre soin des dents (18)
- Fiches conseils (154)
- Vidéos 3D (56)
